虫歯治療
虫歯治療について
虫歯とは
虫歯は、原因菌により歯の成分が少しづつ溶けていき、やがて歯に穴があいてしまう病気です。原因菌である細菌は、糖質から酸を作る歯垢を作ります。この酸が歯を溶かしていく原因となります。この歯垢が残っていると更に酸が作られていき、やがて歯に穴が空いてしまいます。また、虫歯は再発のリスクが高い病気です。歯医者で治療をし、治ったと思っても実は詰め物・被せものと歯の隙間から再発するケースも多くあります。
虫歯の原因
虫歯の原因には大きく分けて4つの原因があると言われています。もちろん年齢などにより個人差がありますが、以下が虫歯の主な原因です。
痛みの少ない虫歯治療
歯医者で麻酔が痛かった…等で歯医者=怖い・痛いといった印象をお持ちの方が多くいらっしゃいます。当院では、患者さんに快適に治療を受けて頂けるように、様々な手法を駆使し痛みの少ない治療を心がけております。
- 細菌―菌の数や種類
- 食べ物―糖類の摂取状況、粘着性
- 宿主(歯質)-歯の構造、歯並び、唾液の量と質
- 時間-細菌が作るさんにさらされる時間
虫歯の進行と症状
-
C1
虫歯が歯の表面にあるエナメル質にできた状態です。症状として、小さな穴ができ始めますが、痛みを感じることは殆どありません。
-
C2
エナメル質の奥にある部分(象牙質)に虫歯がある状態です。冷たいもの・甘いものを食べると痛みを感じたりしみたりすることがあります。
-
C3
歯の中央部にある神経に虫歯が達してしまっている状態です。この状態まで進行してしまうと、温かいもので痛みを感じたり、何もなくてもズキンと痛むことがおきます。
-
C4
歯の頭の部分は虫歯の影響で崩壊しており、歯根まで虫歯になっている状態です。この状態になると神経は死んでしまっている状態なので、痛みを感じないことも多くあります。
歯が痛い・詰め物がとれた
初診ではまず1人の人間として皆様と信頼関係を築くことを大切にしたいと思います。
これまでの経緯や現在の希望、不安なこと、これだけはして欲しくない事をできるだけ細かくお聞かせ下さい。それらを実現するための理想的な治療計画を立てるために必要な資料を集めさせて頂きます。上下の歯型、レントゲン、写真などです。
尚、辛い症状がおありの場合は先に応急処置を優先致します。必要最小限の侵襲に留めるよう最新の道具、治療法を実践させて頂きます。
当院の虫歯治療
神経にギリギリでも到達しない程度の虫歯であればマイクロスコープ(顕微鏡)により患部を拡大し健全な部分はなるべく触らないようにし、神経を保存します。
そして最新の接着材料と最新の審美的な材料で一回で治療を終える事ができます。(程度によっては数回かかることもあります。)
ダイレクトボンディング修復
(小~中程度の虫歯)
- 健康な歯をほとんど削らない
セメントを使用した被せ物や詰め物と違い、健全な歯質を必要以上に削る量は大幅に減少します。結果的に神経を保護できる確率も格段に上がります。 - 再び虫歯になりにくい
セメントを使用せず分子レベルで歯質と一体化することにより強固な層ができます。他の被せ物や詰め物の様に装着後4~5年でセメントが溶けて隙間ができることによる虫歯や歯周病の再発する確率が格段に下がります。
結果、保険の治療を繰り返していくよりも生涯医療費を抑えることができます。 - 欠けたりしても、比較的簡単に元通りに治す事ができる
歯質とほぼ同じ硬さ柔らかさの材料を使用することにより噛み合わせの歯に対しても優しく、噛むことによる顎の負担も軽減できます。
万が一欠けた場合はその場で修復可能です。もう一度削り直して歯型をとる必要はありません。
ダイレクトボンディングでの修復症例
前歯の治療
【保険】元々の自然な歯の形・色を復元
変色した材料(虫歯)を修復する場合
- Before

- After

【自費】理想的な歯の形・色に修正
折れた前歯:削らずに理想的な歯の形に修正する場合【2.5万円 3年間保証】
- Before

- After

前歯の隙間:削らずに理想的な歯の形に修正する場合【2.5万円 3年間保証】
- Before

- After

欠損した前歯:削らずに理想的な歯の形を構築する場合【20万円 3年間保証】
- Before

- After

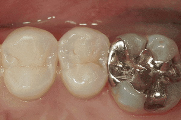
臼歯の治療
【保険】
【咬む面】のみの銀歯(虫歯)→ダイレクトボンディング修復
- Before


- After


【自費】
【隣の歯との間】を含む銀歯→ダイレクトボンディング修復【2.5万円 3年間保証】
- Before


- After

